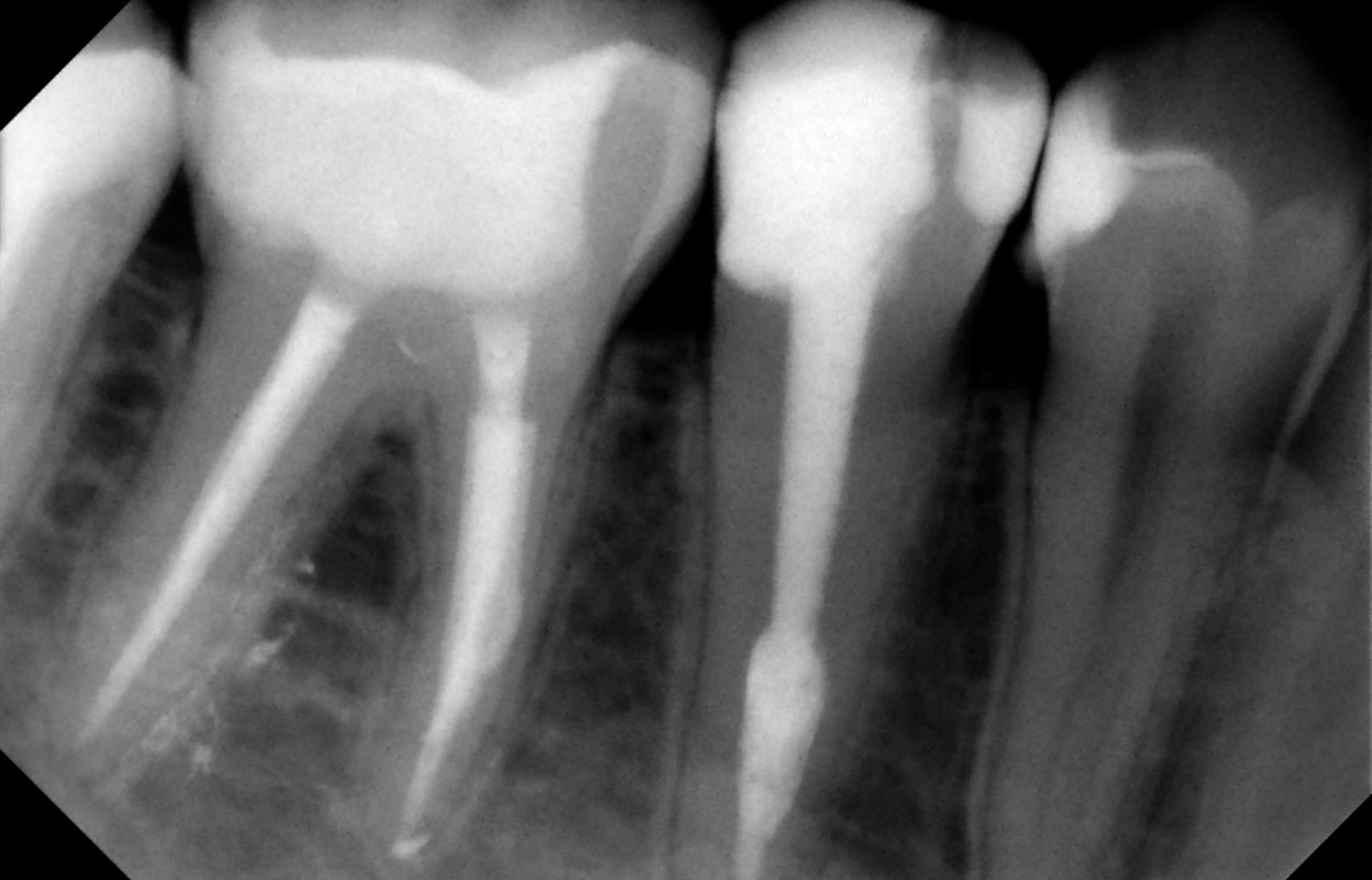
Endodoncias
La endodoncia, también conocida como tratamiento de conductos, es el procedimiento que se utiliza para eliminar, en parte o en su totalidad, la pulpa del diente y sellar el conducto pulpar.
La pulpa es la parte más interior del diente y está constituida por un tejido blando que contiene los nervios y los vasos sanguíneos. La parte del conducto que se encuentra en el interior de la corona se denomina cavidad pulpar, mientras la correspondiente a la raíz recibe el nombre de conducto radicular y es el que conecta con el hueso maxilar.
La causa más frecuente de la infección y consecuente inflamación y necrosis de la pulpa, y por tanto de la necesidad de realizar una endodoncia, es la existencia de caries, aunque existen otros factores que pueden generar una pulpitis o lesión de la pulpa:
- Traumatismos.
- La abrasión, erosión y desgaste de los dientes por el roce entre ellos.
Para la realización de una endodoncia es necesario anestesiar la zona en la que se va actuar. Posteriormente se realiza un agujero en la corona del diente para poder acceder a la pulpa y extraerla y proceder a la limpieza del conducto antes de realizar la obturación y sellado del mismo y de la corona con materiales específicos. Al final de la intervención el diente quedará plenamente insensibilizado y aislado de cualquier otra parte del organismo.
Cuando el diente está muy debilitado se coloca una corona y un perno para devolver la resistencia y la anatomía perdida. Será necesario un seguimiento posterior para verificar la efectividad y evolución de la endodoncia a pesar de que en nuestra clínica contamos con un porcentaje de éxito muy cercano al 100%.



